Sobota6. december 2025, meniny má Mikuláš, Nikolas, zajtra Ambróz

Učiteľka trpela migrénami a poruchami zraku: Šokujúca diagnóza! Lekári našli nádor, ktorý v nej rástol 20 rokov

Ilustračný obrázok Zobraziť galériu (5)
(Zdroj: Getty Images)

KENT – Migrény, poruchy zraku a tlak v hlave. Rodičia či kolegovia si mysleli, že ide o bežné zdravotné ťažkosti. Až kým učiteľke Nikite Sterlingovej lekári neoznámili šokujúcu správu – v jej mozgu sa nachádzal rozsiahly nezhubný nádor, ktorý tam mohol byť už dve desaťročia.

Nikita Sterlingová (39), trpela od svojich 18 rokov náhodnými migrénami. Objavovali sa len dva až trikrát ročne, preto nikdy nevyhľadala odbornú pomoc. Situácia sa zmenila na jeseň 2024, keď sa bolesti hlavy začali vracať každé tri týždne, informuje The Sun na svojom webe. „Cítila som obrovský tlak, akoby mi niekto napĺňal hlavu vodou,“ opísala svoje symptómy. Počas jedného rodičovského združenia dokonca stratila schopnosť hovoriť. „Nemohla som nájsť správne slová, bolo to veľmi trápne,“ priznala.

Učiteľka trpela migrénami a
Zobraziť galériu (5)
 (Zdroj: Facebook/Nikita Sterling)

Márne čakanie na lekára

Sterlingovej ťažkosti sa v nasledujúcich mesiacoch zhoršovali, no cez štandardný systém zdravotnej starostlivosti sa nevedela dostať k lekárovi. Až vďaka poisteniu cez manželovu prácu sa objednala k súkromnému neurológovi. Najbližší termín však dostala až v máji 2025.

Učiteľka trpela migrénami a
Zobraziť galériu (5)
 (Zdroj: Facebook/Nikita Sterling)

Medzitým začala odpadávať a prebúdzať sa v zvratkoch, čo desilo jej manžela Deana (40) aj deti – osemročného Sebastiana a päťročnú Florence. Keď ju sestra presvedčila, aby si sama zaplatila MRI vyšetrenie, rozhodla sa investovať 400 libier (460,87 eur), aby mala istotu, že môže bezpečne cestovať na rodinnú dovolenku.

Šokujúca diagnóza

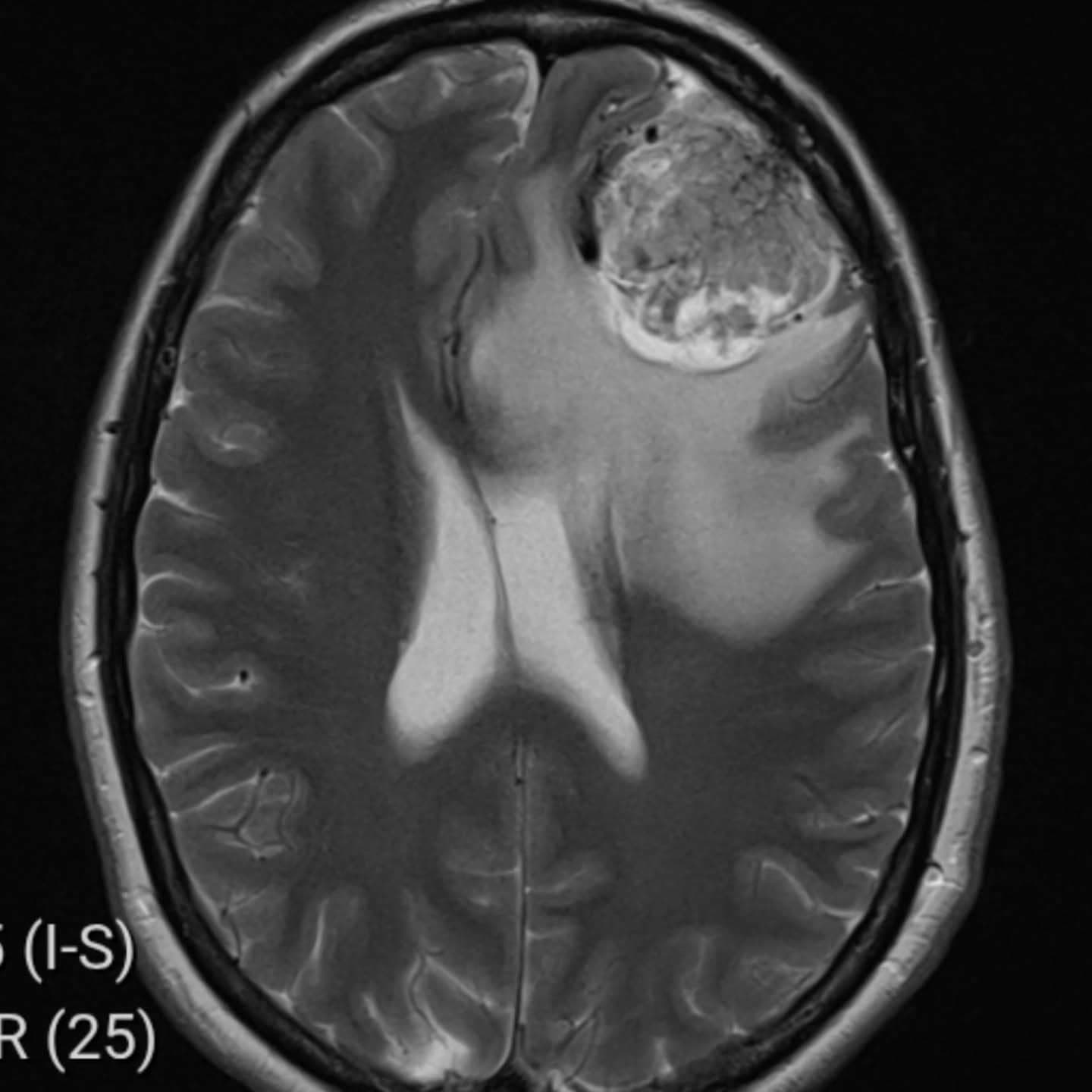
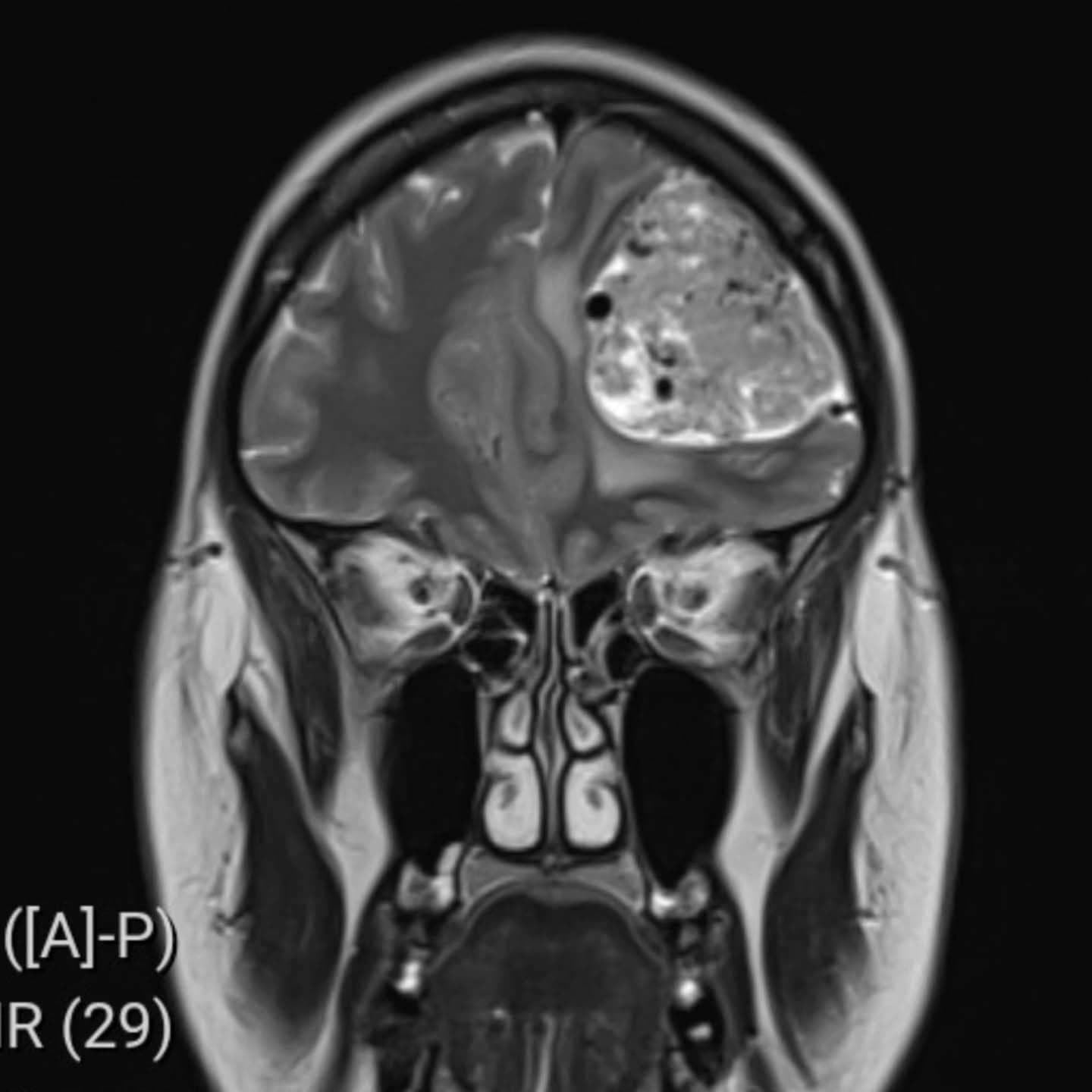
Výsledok prišiel už o pár hodín. Lekári ju okamžite poslali na urgentné oddelenie nemocnice v Medway, kde jej diagnostikovali rozsiahlu masu v čelovom laloku. Neskôr sa potvrdilo, že ide o meningeóm – nezhubný nádor mozgu. „Zrútila som sa, keď mi to povedali. Dlho trvalo, kým som sa vôbec dostala k správnej diagnóze,“ uviedla Nikita. V apríli 2025 podstúpila na londýnskej klinike King’s College Hospital štvorhodinovú operáciu, počas ktorej jej lekári nádor úplne odstránili. Zákrok prebehol práve v deň 40. narodenín jej manžela. „Ja som bola pokojná, ale pre rodinu to bolo omnoho ťažšie,“ dodala.

Učiteľka trpela migrénami a
Zobraziť galériu (5)
 (Zdroj: Facebook/Nikita Sterling)

Nádej po operácii

Sterlingová dnes hovorí, že cíti obrovskú úľavu. „Najlepšie, čo som mohla počuť, bolo, že nádor je nezhubný. Mám veľké šťastie,“ povedala. Hoci ju trápi rýchla únava, migrény po zákroku úplne ustúpili. Od septembra sa plánuje postupne vrátiť k učeniu. Lekári odhadujú, že nádor jej mohol rásť v mozgu až 20 rokov. V najbližších týždňoch absolvuje kontrolný sken, ktorý potvrdí, či sa choroba nevracia.

Jej manžel Dean sa rozhodol podporiť výskum a liečbu mozgových nádorov. V októbri sa zapojí do výzvy Climb the Capital, počas ktorej vyšplhá na tri londýnske mrakodrapy – Cheesegrater, Scalpel a Walkie-Talkie. Vyzbierané peniaze poputujú na konto organizácie The Brain Tumour Charity.

Učiteľka trpela migrénami a
Zobraziť galériu (5)
 (Zdroj: Facebook/Nikita Sterling)

Fakty o mozgových nádoroch

Podľa štatistík je vo Veľkej Británii každý rok diagnostikovaných viac ako 12-tisíc primárnych mozgových nádorov. Z nich približne polovica je zhubná. Ročne si ochorenie vyžiada vyše 5 300 životov. Mozgové nádory sú najčastejšou príčinou úmrtí na rakovinu u detí a dospelých do 40 rokov.

Medzi najčastejšie príznaky patria:

  • silné a nezvyčajné bolesti hlavy,
  • epileptické záchvaty,
  • nevoľnosť a vracanie,
  • poruchy pamäti a osobnosti,
  • slabosť alebo ochrnutie na jednej strane tela,
  • problémy so zrakom či rečou.

Lekári zdôrazňujú, že pri nezvyčajných bolestiach hlavy je dôležité navštíviť praktického lekára a nenechať symptómy bez povšimnutia.

Viac o téme: ZdravieLekárRakovinaTlakMigrényNikita SterlingPoruchy zraku
Nahlásiť chybu

Odporúčame

Predpredaj.sk - Tu sa rodia zážitky

Predpredaj.sk - Tu sa rodia zážitky

Stream naživo

Predpredaj.sk - Tu sa rodia zážitky

Celý program

Ďalšie zo Zoznamu