Štvrtok8. január 2026, meniny má Severín, zajtra Alexej, Alex, Alexia

Prišiel s bolesťou bedra, odišiel s HOROROVOU diagnózou: Lekár videl NAJŠIALENEJŠÍ röntgen svojej kariéry!

Ilustračné foto Zobraziť galériu (3)
Ilustračné foto (Zdroj: Getty Image)

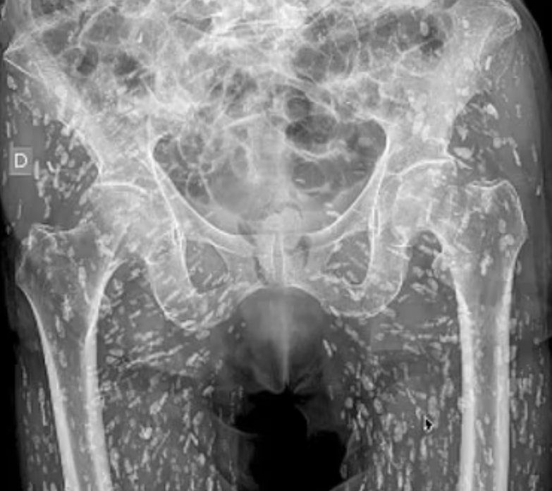
FLORIDA - Muž prišiel do nemocnice po obyčajnom páde, no lekári zažili šok. Röntgen odhalil jeho telo doslova posiate stovkami cyst spôsobených vajíčkami pásomnice. Desivý nález, ktorý sa stal virálnym, je mrazivým varovaním pred konzumáciou surového či nedostatočne tepelne upraveného mäsa.

Muž zažil šok, aký si nevedel ani predstaviť. Keď mu lekári urobili röntgenové vyšetrenie, zistili, že jeho telo je doslova posiate stovkami vajíčok pásomnice. Snímka odhalila množstvo drobných útvarov pripomínajúcich zrnká ryže, ktoré sa napokon ukázali ako cysty spôsobené parazitickou infekciou.

Prišiel s bolesťou bedra,
Zobraziť galériu (3)
 (Zdroj: Getty Images)

Zarážajúci prípad zverejnil na sociálnych sieťach lekár urgentnej starostlivosti z Floridy Sam Ghali. Röntgen označil za jeden z najšialenejších, aké kedy videl. Podľa jeho slov sa pacient nakazil po konzumácii surového alebo nedostatočne tepelne upraveného bravčového mäsa, ktoré obsahovalo larvy pásomnice.

Jasné varovanie

Larvy sa po požití dostávajú do tkanív v tele, kde vytvárajú cysty, píše Daily Mail. Tie môžu časom odumierať, spôsobovať zápaly a vážne zdravotné komplikácie. Lekár preto upozorňuje, že ide o jasné varovanie pre verejnosť: dodržiavať hygienu, dôsledne si umývať ruky a nikdy nekonzumovať surové či nedovarené bravčové mäso.

Telo mal posiate pásomnicou!
Zobraziť galériu (3)
Telo mal posiate pásomnicou!  (Zdroj: X/EM_RESUS)

Najviac znepokojujúce na celom prípade je fakt, že muž o infekcii vôbec netušil. Do nemocnice prišiel pre bolesť bedra po páde a röntgen mal slúžiť len na vylúčenie zranenia. Namiesto toho lekári objavili rozsiahle parazitické postihnutie. V dnes už virálnom videu Dr. Ghali neskrýval šok: „Cysty sú úplne všade. Je ich nespočetne veľa, ani sa nedajú spočítať. Môžu sa dostať do ktorejkoľvek časti tela. V tomto prípade sa výrazne rozšírili do mäkkých tkanív v oblasti bokov a nôh.“

Život v ohrození

Infekcia spôsobená pásomnicou Taenia solium, známa ako taenióza, vzniká po požití vajíčok pásomnice v kontaminovanom alebo nedostatočne tepelne spracovanom mäse. Keď sa cysty usadia v tkanivách, hovorí sa o ochorení cysticerkóza, ktoré je obzvlášť nebezpečné v prípade, že zasiahne mozog alebo nervový systém. V takom prípade ide o neurocysticerkózu, ktorá môže byť život ohrozujúca.

Vajíčka sa môžu v tele vyvinúť na dospelé pásomnice približne do dvoch mesiacov a napadnúť rôzne orgány, svaly, kožu, oči či centrálnu nervovú sústavu. Tieto ochorenia sa najčastejšie vyskytujú v poľnohospodárskych oblastiach rozvojových krajín Afriky, Ázie a Latinskej Ameriky. K prenosu dochádza najmä pri nedostatočnej hygiene, napríklad keď si infikovaní ľudia po použití toalety neumývajú ruky. Vajíčka sa môžu šíriť aj cez vodu kontaminovanú fekáliami.

Nejde o ojedinelý prípad

Prípad bol zdokumentovaný už v roku 2021 a vyšetroval ho tím odborníkov z Univerzitnej nemocnice São João v portugalskom Porte. Podľa Dr. Ghaliho je prognóza cysticerkózy vo väčšine prípadov priaznivá, no niektoré infekcie môžu mať fatálne následky. „Odhaduje sa, že ročne sa na celom svete nakazí približne 50 miliónov ľudí a až 50-tisíc z nich na následky ochorenia zomrie,“ upozornil lekár. Záverečné posolstvo je preto jasné: dôsledná hygiena, umývanie rúk a vyhýbanie sa surovému bravčovému mäsu môže zachrániť zdravie – a v niektorých prípadoch aj život.

Hoci röntgenová snímka zverejnená Dr. Ghalim pôsobí desivo, nejde o ojedinelý prípad. Podobné závažné infekcie zaznamenali lekári po celom svete, vrátane Brazílie, kde v roku 2023 lekár varoval verejnosť jednoduchým odkazom: ak sa tomu chcete vyhnúť, umývajte potraviny a dbajte na hygienu.

Viac o téme: NemocnicaLekárRöntgenCystyPásomnica
Nahlásiť chybu

Odporúčame

Predpredaj.sk - Tu sa rodia zážitky

Predpredaj.sk - Tu sa rodia zážitky

Stream naživo

Predpredaj.sk - Tu sa rodia zážitky

Celý program

Ďalšie zo Zoznamu