Utorok3. marec 2026, meniny má Bohumil, Bohumila, zajtra Kazimír

Látka oslavovaná ako pomocník proti starnutiu môže mať aj temnú stránku. Môže urýchľovať rast nádorov, vedci vysvetlili prečo

undefined
undefined

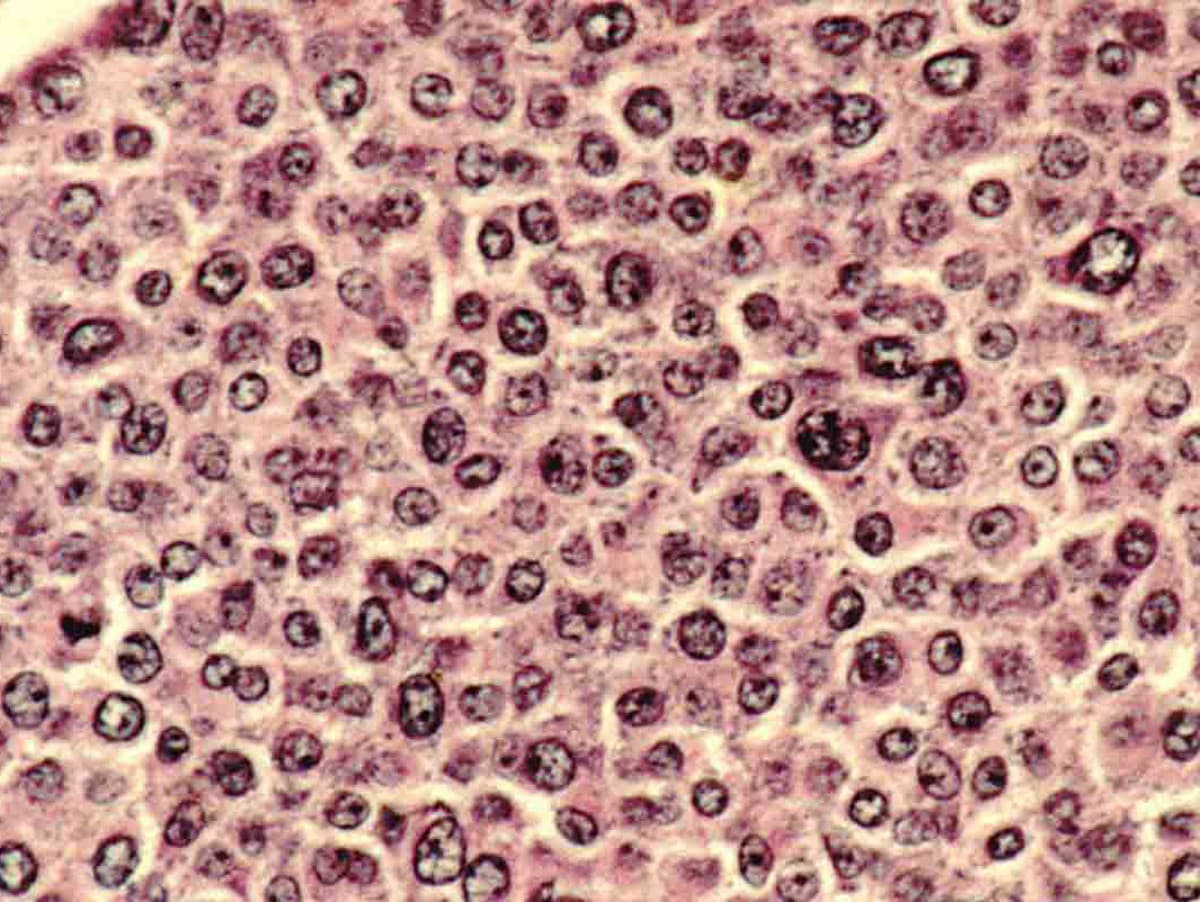
Polyamíny podporujú autofágiu a zdravé starnutie, no v nádorových bunkách aktivujú proteín eIF5A2 a glykolýzu, čím urýchľujú rast. Vedci teraz zistili, prečo rovnaká molekula pôsobí v zdravých a rakovinových tkanivách odlišne.

Prečítajte si celý článok >>

Nahlásiť chybu

Odporúčame

Predpredaj.sk - Tu sa rodia zážitky

Predpredaj.sk - Tu sa rodia zážitky

Stream naživo

Predpredaj.sk - Tu sa rodia zážitky

Celý program

Ďalšie zo Zoznamu